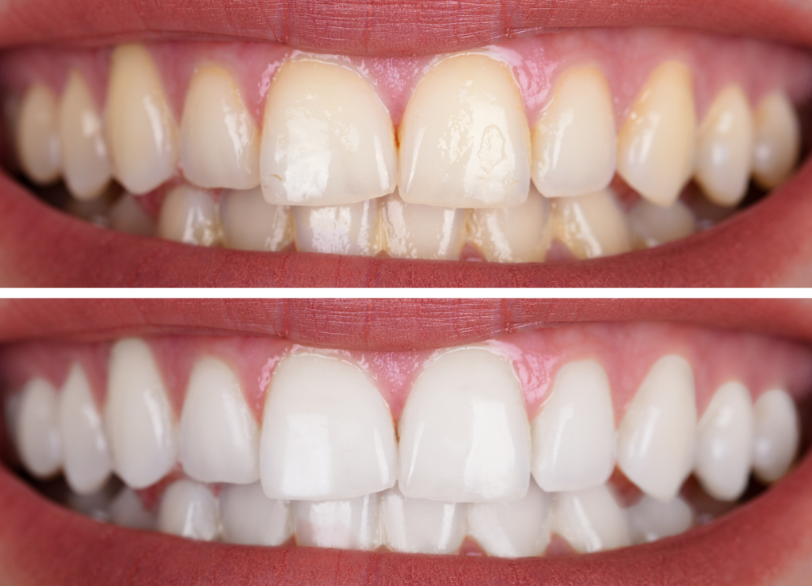
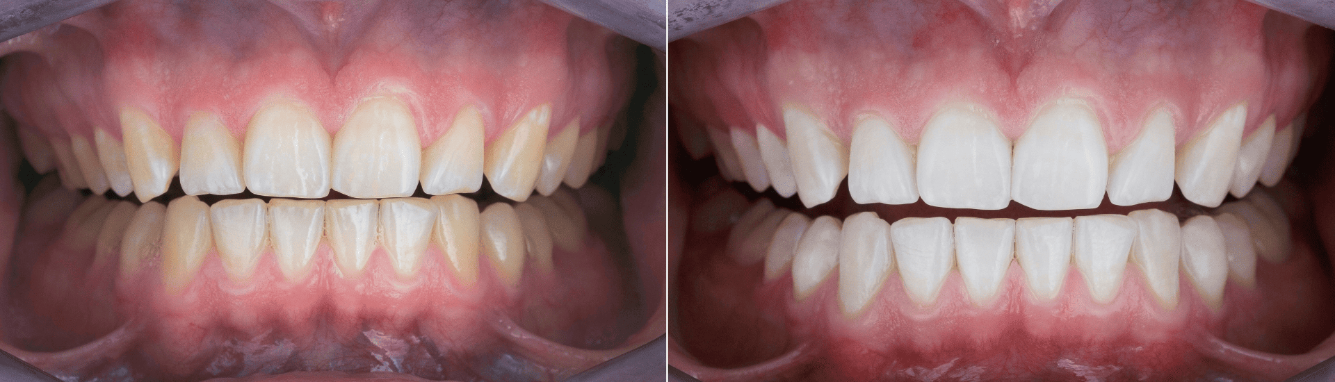
口元からこぼれる白く輝く歯。お顔全体の印象を明るくし、清潔感や若々しさ、そして健康的な美しさを際立たせるのがきれいな歯です。
近年、ビジネスシーンや日常のコミュニケーションにおいて、ご自身の口元に対する意識が高まり、男女や年齢を問わず、ホワイトニングに関心を持たれる方が増えてまいりました。「歯の色がもう少し白かったら、もっと自信を持って笑えるのに」そう感じたことのある方は決して少なくないと思います。
ホワイトニングは、歯を削ったり人工物を貼り付けたりすることなく、ご自身の歯そのものを内側から自然な明るい白さへと導くことができる審美治療の一つです。
当院では、ただ歯を白くすることだけを目的とはしていません。その過程と結果を通じて、患者様がご自身の歯への関心を深め、お口の健康を維持していくきっかけとなること。そして何より、心からの自信に満ちた笑顔で毎日をより豊かに過ごしていただくこと。それが私たちの考えるホワイトニングです。
このページでは、歯がなぜ変色するのかという基本的な知識から、当院がご用意する歯と身体に優しいホワイトニングの具体的な方法、そしてその輝きを長く保つための秘訣について詳しくご説明いたします。
歯の色が変化する理由

生まれたばかりの頃は、誰もが白く美しい歯を持っています。しかし、日々の生活や年齢と共に歯の色は少しずつ変化していきます。
その原因は一つではありません。
ご自身の歯の変色がどのタイプに当てはまるのかを正しく知ることが、効果的なホワイトニングへの第一歩となります。
歯の変色の原因は大きく二つに分類されます。
歯の表面に付着する「外因性の着色」
これは、歯の外部からの要因によって、歯の表面にあるエナメル質に色素が付着したり浸透したりすることによる変色です。
私たちの歯は、食事をするたびに様々な色素にさらされています。
主な着色原因となる飲食物
- コーヒー、紅茶、緑茶、ウーロン茶(タンニン、カテキン)
- 赤ワイン(ポリフェノール)
- カレー、醤油、ソース、ケチャップ
- チョコレート、ココア
- ベリー類の果物(ブルーベリー、ブドウなど)
これらの色素が、日々の積み重ねによって少しずつ歯に沈着していきます。
喫煙によるヤニ
タバコに含まれるタール(ヤニ)は、粘着性が非常に高く、歯の表面に強力に付着して黄ばみや黒ずみの原因となります。
加齢による変化
年齢を重ねると、歯の表面を覆う半透明のエナメル質が長年の使用によって少しずつ摩耗し、薄くなっていきます。すると、その内側にあるもともと少し黄色味を帯びた「象牙質」の色が、より透けて見えるようになります。
これが、年齢と共に歯が黄色く見えてくる大きな理由の一つです。
歯科医院で行うホワイトニングは、主にこの「外因性の着色」に対して非常に高い効果を発揮します。
歯の内部構造に起因する「内因性の変色」
これは、歯の内部構造そのものが変色している状態で外からの着色とは区別されます。
薬剤の影響(テトラサイクリン歯)
幼少期(歯が形成される時期)に、テトラサイクリン系の抗生物質を服用したことが原因で歯の象牙質が灰色や褐色、あるいは縞模様に変色してしまう状態です。
歯の神経を失ったことによる変色(失活歯)
虫歯が進行したり歯を強くぶつけたりして歯の神経が死んでしまうと、歯に栄養が行き渡らなくなり、時間と共に歯が内側から黒ずんできます。
エナメル質形成不全症
生まれつき、歯のエナメル質がうまく作られず、表面が白く濁ったり茶色っぽくなったりする状態です。これらの「内因性の変色」は、通常のホワイトニングでは白くすることが難しい場合があります。
その場合は、歯の表面にセラミックを貼り付ける「ラミネートベニア」や、歯全体を覆う「セラミッククラウン」といった別の審美治療の方法が適応となります。
当院では、患者様の歯の変色の原因を正確に診断し、最も適した改善方法をご提案いたします。
歯科医院のホワイトニングと市販品との違い
最近では、ドラッグストアなどで「歯を白くする」とうたった様々な製品が販売されています。
それらと、歯科医院で行うホワイトニングは根本的に目的と仕組みが異なります。
市販のホワイトニング歯磨き粉

市販されている歯磨き粉の多くは、研磨剤によって歯の表面に付着した着色汚れ(ステイン)を「削り落とす」か、あるいはイオンクレンジング成分などで汚れを「浮かせて落とす」ことを目的としています。
これらは、あくまで歯の表面のクリーニングであり歯そのものの色を白くする作用はありません。
また、研磨剤の粒子が粗い製品を長期間使用すると、歯の表面を傷つけてしまい、かえって着色しやすい状態を招いてしまう可能性もあります。
歯科医院のホワイトニング

歯科医院で専門家の管理のもと使用するホワイトニング剤には、歯の内部に浸透して色素そのものを分解する「過酸化水素」や「過酸化尿素」といった成分が含まれています。
これは、歯の表面の汚れを落とすだけでなく歯そのものの色調を内側から明るく変化させる作用があります。
歯を削ることなく、ご自身の歯が本来持つ透明感を保ちながら明るい白さを実現できるのが、歯科医院で行うホワイトニングの特徴です。
古屋歯科医院がご用意するホワイトニング
当院では、患者様一人ひとりのライフスタイルや、目標とする白さ、ご予算などのご希望に合わせてお選びいただけるよう二つのホワイトニング方法をご用意しております。
それぞれの方法に異なる特徴があり、どちらが良いということではなく患者様にとってどちらがより適しているかという視点でご提案させていただきます。
当院のホワイトニング方法
- オフィスホワイトニング:歯科医院で短期間で効果を実感する方法
- ホームホワイトニング:ご自宅でご自身のペースでじっくりと白くする方法
また、この二つを組み合わせることで、より高い効果と持続性を得られる「デュアルホワイトニング」も可能です。
オフィスホワイトニング

専門家による確かな白さの実感
オフィスホワイトニングは、歯科医師または歯科衛生士という専門家の管理のもと歯科医院内ですべての施術を完了させる方法です。
比較的高濃度のホワイトニング剤と、その効果を促進させる特殊な光を組み合わせることで、1回の施術でも白さの変化を実感しやすいのが特徴です。
当院が採用する「ポリリンホワイトニング」
当院では、数あるオフィスホワイトニングシステムの中でも歯と身体への優しさを特に重視した「ポリリンホワイトニング」を導入しております。
ポリリン酸とは?
「分割ポリリン酸Na」は、微生物から哺乳類まであらゆる生物の体内に存在する生体由来の成分です。食品添加物としても認可されており、その安全性は広く認められています。
このポリリン酸の持つ様々な働きをホワイトニングに応用したのが、このシステムです。
ポリリンホワイトニングの優れた特徴
従来のホワイトニングは、「歯がしみる」「痛い」といった知覚過敏の症状が出やすいという側面がありました。また、施術後の食事制限が厳しく患者様にご負担をおかけすることも少なくありませんでした。ポリリンホワイトニングは、これらの課題を克服し、より快適でかつ高い効果を期待できる進化したホワイトニングシステムです。
1. 痛みが少なく、歯に優しい
ポリリン酸は、歯の表面の汚れを効率的に浮かせて除去すると同時に歯の表面を保護・コーティングする作用があります。
これにより、ホワイトニング剤による歯への刺激が緩和され、従来のシステムに比べて歯がしみる感覚や痛みが大幅に軽減されています。
知覚過敏が心配で、これまでホワイトニングをためらっていた方にも安心してお受けいただけます。
2. 透明感のある、自然な白さを実現
ポリリン酸が歯の表面に付着したステインを優しく剥がし、同時にホワイトニング剤が歯の内部の色素を分解することで歯が本来持つ輝くような透明感を損なうことなく、自然で美しい白さを実現します。
3. 歯質を強化し、虫歯予防にも繋がる
ポリリン酸には、歯の再石灰化を促進しエナメル質を強化する働きがあります。
ホワイトニングを行いながら、同時に歯質を強くし虫歯になりにくい健康な歯へと導く効果が期待できます。
4. 色戻りを防ぎ、白さが長持ちする
ポリリン酸によるコーティング効果は、ホワイトニング後の歯の表面を保護し新たなステインの付着を防ぎます。
これにより、ホワイトニング効果が長持ちし美しい白さをより長く維持することができます。
5. 施術直後の食事制限がありません
従来のホワイトニングでは、施術後24時間は色の濃い飲食物を避ける必要がありました。
ポリリンホワイトニングは、施術直後から歯をコーティングし着色から守るため、コーヒーやカレーといった食事制限が基本的に不要です。施術後のライフスタイルに影響が少ない点も大きな特徴の一つです。
オフィスホワイトニングの施術の流れ

1. カウンセリング
まず、患者様のご希望や歯の色に関するお悩みをお伺いします。ホワイトニングの仕組みや効果、注意事項などについて丁寧にご説明いたします。
2. お口の中の診査と歯の色の確認
ホワイトニングを行える状態であるか、虫歯や歯周病がないかなどをチェックします。
施術前の歯の色を、専門の色見本(シェードガイド)を使って記録し患者様ご自身にもご確認いただきます。
3. 歯の表面のクリーニング
ホワイトニング効果を引き出すため、歯の表面に付着した歯垢や着色汚れを専用の器具で丁寧に除去します。
4. 歯ぐきの保護
ホワイトニング剤が歯ぐきに付着しないよう、専用のジェルでしっかりと保護します。
5. 薬剤の塗布と光の照射
ポリリンホワイトニング専用のジェルを歯の表面に塗布し、特殊な青色LEDライトを約8分間照射します。この工程を通常3回繰り返します。
6. 仕上げと確認
保護材と薬剤をきれいに洗い流し、トリートメント剤で歯の表面を整えます。
シェードガイドを使って、施術後の歯の色がどれくらい明るくなったかを患者様と一緒に確認します。
ホームホワイトニング

ご自身のペースで理想の白さへ
ホームホワイトニングは、歯科医院で製作した患者様専用のマウストレーと、比較的低濃度のホワイトニング剤をお渡しし、ご自身でご自宅などのお好きな場所で行っていただく方法です。
当院が採用する「オパールエッセンス」
当院では、ホームホワイトニングシステムとして、アメリカで開発され世界中の歯科医院で長年にわたり使用されている非常に信頼性の高い「オパールエッセンス」を採用しています。
オパールエッセンスの優れた特徴
1. 高い安全性と実績
オパールエッセンスは、アメリカの歯科医師からも高い評価を受けておりその安全性と効果は数多くの臨床データによって裏付けられています。日本国内でも、厚生労働省の認可を受けた安全な医療機器です。
2. ジェルの粘性が高く、トレーから漏れにくい
薬剤が唾液で流れてしまったりトレーから漏れ出してしまったりすると、十分な効果が得られないだけでなく歯ぐきに炎症を起こす原因にもなります。
オパールエッセンスのジェルは、適度な粘性があるためトレーの中にしっかりととどまり、歯の表面に密着し続けることで薬剤の効果を発揮します。
3. 知覚過敏を抑制する成分を配合
ジェルには、知覚過敏を抑制する成分(硝酸カリウム、フッ化物)が含まれています。
これにより、ホームホワイトニング中に起こりやすい歯がしみるといった症状を抑える工夫がなされています。
4. ご自身のペースで、後戻りの少ない白さを実現
ホームホワイトニングは、オフィスホワイトニングに比べて効果が現れるまでに時間がかかります(通常1日2時間程度の装着を約2週間継続)。
しかし、低濃度の薬剤で時間をかけてじっくりと歯の内部に浸透させていくため、色の後戻りが少なくより透明感のある自然な白さが得られるのが特徴です。
また、ご自身の希望する白さになった時点で治療を終了することができます。
ホームホワイトニングの施術の流れ

1. カウンセリングと診査
オフィスホワイトニングと同様に、まずはお口の中の状態を拝見しホームホワイトニングが適しているかを診断します。
2. マウストレー作製のための型取り
患者様専用の、歯にぴったりと適合するマウストレーを製作するために歯の型取りを行います。
当院では、口腔内スキャナーを用いることで不快感の少ない精密な型取りが可能です。
3. マウストレーと薬剤のお渡し
後日、完成したマウストレーとホームホワイトニング用のジェル(オパールエッセンス)をお渡しします。その際に、歯科医師または歯科衛生士がトレーへのジェルの注入方法、装着時間、保管方法、注意事項などについて詳しく分かりやすくご説明いたします。
4. ご自宅での実践
ご説明した使用方法に従って、ご自身のタイミングでホワイトニングを開始していただきます。
通常、1日1回2時間程度の装着を約2週間続けていただくのが基本的なサイクルです。
5. 経過の確認
治療期間中、または終了後にご来院いただき歯の色の変化や何か問題が起きていないかなどを確認します。
デュアルホワイトニング

高い効果と持続性を求めて
デュアルホワイトニングは、歯科医院で行う「オフィスホワイトニング」と、ご自宅で行う「ホームホワイトニング」を両方組み合わせて行う方法です。それぞれのメリットを活かし合うことで、ホワイトニング効果を高めることができる理想的な治療法といえます。
まず、オフィスホワイトニングで歯の色を短期間で一気に明るくし、その後、ホームホワイトニングを継続していただくことでその白さをさらに高めると同時に、歯の内部にまで薬剤を浸透させ色の後戻りを強力に防ぎます。
デュアルホワイトニングはこんな方におすすめ
- 短期間で目標の白さに到達したい
- できる限り白く透明感のある歯を手に入れたい
- 手に入れた白さをできる限り長く維持したい
このようなご希望をお持ちの方に、お勧めする方法です。
白く輝く歯を未来へ繋ぐために
ホワイトニングによって手に入れた明るく美しい歯。
その輝きを一日でも長く保つためには、日々の少しの心がけと定期的なプロフェッショナルケアがとても大切になります。
ホワイトニング後のセルフケア
・コーヒーや紅茶、赤ワインなどを飲んだ後は、できるだけ早くお口をゆすぐか歯を磨く習慣をつけましょう。
・禁煙は、歯の白さを維持する上で非常に効果的です。
・着色を吸着・除去する効果のあるホワイトニング専用の歯磨き粉を日常的に使用することもお勧めです。
定期的なメンテナンスも大切です
どんなに丁寧にセルフケアを行っていても、少しずつ着色汚れは付着してきてしまいます。
3〜6ヶ月に一度、歯科医院で定期的なクリーニング(PMTC)を受けることで歯の表面をツルツルに磨き上げ、着色が付きにくい状態を維持することができます。
また、数ヶ月から1年に一度、ホームホワイトニングを数日間行う「タッチアップ」を行うことで後戻りしてしまった色を再び明るくし、白さを簡単にキープすることが可能です。
健康的な笑顔のために
ホワイトニングは、単に歯を白くするだけの美容行為ではありません。ご自身の歯への関心を高め、お口の健康と向き合う素晴らしいきっかけとなります。
白く健康的な歯は、皆様の笑顔を、そして人生をより一層輝かせてくれるはずです。その第一歩を私たちが心を込めてサポートいたします。どうぞ、お気軽にご相談ください。