お口の中に起こる外科的な処置を伴う問題は、虫歯や歯周病とはまた違った大きな不安や緊張を伴うものです。「手術」という言葉の響きから、「痛いのではないか」「腫れるのではないか」となかなか歯科医院へ足を運べずに、お一人で悩みを抱えていらっしゃる方も多いのではないでしょうか。
口腔外科とは、その名の通りお口の中や、その周りの領域(顎、顔面など)に発生する様々な病気に対して、主に外科的なアプローチで治療を行う診療科です。
当院ではこの口腔外科分野の治療において、何よりも「安全性」を最優先事項として掲げております。
外科処置には常に様々なリスクが伴います。だからこそ、私たちはそのリスクを限りなくゼロに近づけるための最大限の努力を惜しみません。
精密な検査による正確な診断、そしてそれに基づいた的確な治療計画。患者様にご自身の状態と治療内容を深くご理解いただき、心からご納得いただいた上で初めて治療へと進むこと。そして、処置における身体的・精神的なご負担を可能な限り軽減すること。
これらの一つひとつを決して疎かにすることなく、丁寧に着実に積み重ねていくことこそが安全で質の高い口腔外科治療の礎であると、私は確信しております。
口腔外科が扱う主なお口のトラブル
口腔外科が担当する領域は、皆様が想像されるよりもずっと多岐にわたります。
歯や歯ぐきだけでなく、顎の骨や関節、舌や粘膜に至るまでお口周りのあらゆるトラブルに対応いたします。

親知らずの抜歯
まっすぐに生えてこなかったり、痛みや腫れを繰り返したりする親知らずの抜歯を行います。
顎関節症
「口を開けると顎が痛む」「カクカク、ジャリジャリと音がする」「口が大きく開かない」といった症状を、マウスピース(スプリント)や生活習慣の指導などによって改善します。
口腔内の出来物(良性腫瘍・のう胞)
歯の根の先に膿の袋(歯根のう胞)ができたり、顎の骨の中や粘膜に出来物ができたりした場合の摘出術を行います。
口腔粘膜疾患
治りにくい口内炎や、舌や頬の粘膜にできる白い病変(白板症)などの診断と治療を行います。
歯や顎の外傷(ケガ)
転倒や事故などで歯が折れたり、抜けたり、唇や舌を切ってしまったりした場合の処置を行います。
インプラント治療
歯を失った部分の顎の骨に人工の歯根を埋め込むインプラント手術も、口腔外科の一分野です。
これらの症状でお悩みの場合、どうぞ自己判断なさらずに専門家である私たちにご相談ください
親知らずを抜くべきか、抜かなくても良いのか
口腔外科において最も多くの患者様がお悩みになり、ご相談いただくのが「親知らず」に関する問題です。
多くの方が一度はその名を聞いたことがあるのではないでしょうか。

親知らずとは、どのような歯なのでしょうか
親知らずとは、前歯から数えて8番目、一番奥に生えてくる永久歯のことです。正式には「第三大臼歯(だいさんだいきゅうし)」と呼ばれ、永久歯の中で最も遅く一般的に10代後半から20代前半頃に生えてきます。
昔の人の寿命が短かった時代には、親が亡くなった後に生えてくることが多かったため「親知らず」という俗称で呼ばれるようになったといわれています。
親知らずが引き起こす代表的なトラブル
1. 歯周病(智歯周囲炎:ちししゅういえん)

親知らずに関するトラブルで最も頻繁に起こるのが、この智歯周囲炎です。親知らずが中途半端に生えていると、歯と歯ぐきの間に深い溝ができそこに汚れが溜まりやすくなります。
この汚れの中で細菌が繁殖し、歯ぐきに強い炎症を引き起こすのです。
主な症状としては次のようなものが挙げられます。
- 親知らずの周りの歯ぐきが赤く腫れて痛む
- 膿が出て、嫌な臭いがする
- 症状がひどくなると口が開きにくくなったり、喉まで痛くなったりする
一度症状が治まっても、体調を崩したり疲れが溜まったりすると何度も繰り返し再発することが多いのが特徴です。
2. 虫歯

親知らずは一番奥にあって歯ブラシが届きにくいため、非常に虫歯になりやすい歯です。
問題は親知らず自身が虫歯になるだけではありません。さらに深刻なのは、親知らずとその手前の大切な歯(第二大臼歯)との間に汚れが溜まり、手前の歯まで虫歯にしてしまうケースです。
手前の歯はこれから先も長く使っていかなければならない重要な役割を担う歯です。
親知らずが原因でこの大切な歯の寿命を縮めてしまうことは、絶対に避けなければなりません。
3. 歯並びへの悪影響

横向きに生えてきた親知らずが手前の歯を前へ前へと押し続けることで、時間をかけて歯並び全体が少しずつ乱れてきてしまうことがあります。
特に一度矯正治療できれいにした歯並びが、後から生えてきた親知らずの影響で再びガタガタになってしまう「後戻り」の原因となることもあります。
4. のう胞の形成

顎の骨の中に埋まったままの親知らずの周りに、液体を含んだ袋状の病変(のう胞)ができてしまうことがあります。
のう胞は自覚症状がないまま、ゆっくりと大きくなり周りの顎の骨を溶かしたり、隣の歯の根に悪影響を及ぼしたりすることがあります。
親知らずの抜歯に関する当院の考え方
「親知らずは必ず抜かなければいけないのですか?」これは患者様から最も多くいただくご質問です。
その答えは、「すべての親知らずを抜く必要はありません」です。
親知らずを抜いた方が良い場合
- 智歯周囲炎を繰り返し、痛みや腫れに悩まされている場合
- 親知らず自身、または手前の歯が虫歯になっているあるいはそのリスクが非常に高い場合
- 親知らずが原因で歯並びが悪くなる可能性がある場合
- のう胞などの病変の原因となっている場合
- 矯正治療を行う上で抜歯が必要と判断された場合
つまり、現在すでにお口の中に悪影響を及ぼしているかあるいは将来的に高い確率でトラブルを引き起こすことが予測される場合には、抜歯をお勧めすることになります。
親知らずを抜かなくても良い場合
- 上下の親知らずがきれいにまっすぐ生えており、正常に噛み合っている場合
- 歯ブラシがきちんと届き、清潔な状態を維持できている場合
- 顎の骨の中に完全に埋まっており、今後問題を起こす可能性が低いと判断される場合
- 将来、手前の歯を失った際にブリッジの土台や歯の移植に利用できる可能性がある場合
当院では患者様のお口の状態を精密に検査し、抜歯の必要性についてメリットとデメリットの両方を丁寧にご説明いたします。
決して一方的に抜歯を勧めることはありません。抜くか抜かないかを決定するのは患者様ご自身です。
私たちはその判断のために必要な情報を、専門家として正確にご提供する責任があると考えております。
安全を最優先する当院の口腔外科治療
外科的な処置、特に親知らずの抜歯は患者様にとって大きな決断を要する治療です。
だからこそ、私たちはそのご決断に応えるべく安全性を確保するための万全の体制を整えています。
すべては「精密な診断」から始まります

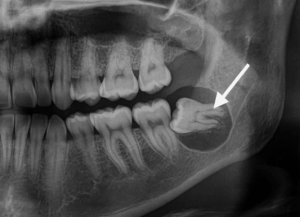
安全な外科処置の第一歩は、お口の中の状態をいかに正確に把握できるかにかかっています。特に顎の骨の中には、下歯槽神経(下唇や顎の皮膚の感覚を司る太い神経)や血管といった絶対に傷つけてはならない重要な組織が存在します。
当院では、通常の二次元的なレントゲン撮影に加えて必要不可欠と判断した症例においては、必ず「歯科用CT」による撮影を行います。
歯科用CTを用いることで次のような情報を、ミリ単位で正確に把握することができます。
- 親知らずの根の形や本数、湾曲の度合い
- 顎の骨の中での親知らずの正確な位置と傾き
- 親知らずの根の先端と下歯槽神経との三次元的な位置関係
CTによる事前の詳細なシミュレーションは、手術中の偶発的な事故(神経の損傷など)のリスクを限りなくゼロに近づけより安全で確実な抜歯を可能にするための、いわば「手術の設計図」となる極めて重要なプロセスです。
ご納得いただくまで何度でもご説明します

検査で得られたCT画像などをお見せしながら、現在の親知らずがどのような状態にあるのか、なぜ抜歯が必要なのかそしてどのような手順で抜歯を行うのかを、専門用語を避けて分かりやすくご説明いたします。
同時に、抜歯に伴うリスク(術後の痛みや腫れ、稀に起こりうる偶発症など)についても包み隠さず正直にお話しいたします。
治療の良い面だけでなく、起こりうる可能性のあるすべての事柄について事前にご理解いただくことが信頼関係の基本であると考えるからです。
ご不安な点やご不明な点がございましたら、どうぞ遠慮なく何度でもご質問ください。患者様がすべての点にご納得され、安心して「お任せします」と思っていただけるまで私たちは対話を続けます。
身体へのご負担を最小限に抑えるための技術と配慮
実際の処置においては、患者様の心身へのご負担を少しでも和らげるための様々な工夫を凝らしています。

痛みの少ない麻酔
これまでの治療ページでも触れてまいりましたが、当院では麻酔時の痛みを軽減するために表面麻酔「アネスパッチ」の使用や、極細の注射針、そして電動麻酔器を駆使し処置が始まる前の段階から患者様の苦痛を取り除く努力を徹底しています。
最小限の侵襲を心がけた丁寧な処置
抜歯の際には、歯ぐきの切開や歯を支える骨の削除を必要最小限にとどめることを常に心がけています。
身体への侵襲が少なければ少ないほど、術後の痛みや腫れは軽度で済む傾向にあります。
長年の経験で培った技術に基づき、歯や骨に対してできる限り優しく丁寧な操作を行うことをお約束します。
迅速で無駄のない手術時間
もちろん、丁寧でありながらも処置は迅速に行います。
お口を開けている時間が長くなることは、患者様にとって大きなストレスとなります。
事前の精密な治療計画に基づき、無駄のないスムーズな処置を行うことで手術時間を可能な限り短縮し、ご負担を軽減します。
大学病院との緊密な連携体制

患者様の安全を確保するためには、私たちに「できること」とより高度な専門設備を持つ医療機関に「任せるべきこと」を的確に見極める診断力が不可欠です。
次のような場合には、無理に当院で処置を行うことはありません。
- 親知らずが下歯槽神経と完全に癒着しているなど、極めて難易度の高い症例
- 重篤な全身疾患(心臓病や血液の病気など)をお持ちで、手術中の全身管理が必要な方
- 抜歯に対する恐怖心が非常に強く、静脈内鎮静法などが必要な方
それは患者様にとって最善の選択ではないからです。
当院では、複数の大学病院や地域の基幹病院と緊密な連携体制を築いております。
より安全で専門的な治療が必要であると判断した場合には、私たちが責任をもって信頼できる高次医療機関にご紹介させていただきますので、ご安心ください。
すべては患者様の安全と健康を第一に考えた上での判断です。
抜歯後の過ごし方ときめ細やかなフォローアップ

無事に抜歯が終わった後も、安心して回復期間を過ごしていただけるよう当院ではきめ細やかなフォローアップを行っております。
抜歯後には、お薬の飲み方や食事、歯磨き、運動など日常生活における注意点をまとめた書面をお渡しし、詳しくご説明いたします。
一般的に、抜歯後の痛みや腫れのピークは術後24時間から48時間といわれています。処方された痛み止めや抗生物質を、指示通りにきちんと服用していただくことがスムーズな回復への鍵となります。
また、原則として抜歯の翌日には一度ご来院いただき傷口の状態を確認し、消毒を行います。
術後の経過をしっかりと見守ることで、万が一のトラブルにも迅速に対応することが可能です。
安心してご相談ください
お口の中の外科処置は、誰にとっても決して心地よい経験ではありません。
だからこそ、私たちはその不安な気持ちにどこまでも寄り添い、確かな知識と技術、そして万全の安全体制をもって皆様をお迎えしたいと考えております。
親知らずの痛みやお口の中の気になる症状を、もう一人で我慢する必要はありません。
その一歩を踏み出す勇気を、私たちが全力で支えます。どうぞ、安心してご相談ください。